If you put off or even miss your dental appointment, the broken or chipped tooth can become infected and cause permanent damage. Another reason to not delay a visit to the dentist is that you may start unconsciously avoiding the damaged tooth by chewing on the other side of your mouth. The earlier a dentist treats a cracked tooth, the better. Over time, broken teeth can lead to more serious dental issues.
If a cracked tooth is not treated, the pulp and other tissues inside can be infected. This increases the chance of losing your tooth. Remember that the sooner appropriate measures are taken, the more likely you are to prevent the progression of the crack, relieve pain and save the tooth. To avoid infection, rinse your mouth gently after eating.
An abscess may cause discomfort, but sometimes, if the broken tooth is left untreated, it can go unnoticed. The infection will spread to other parts of the body and cause serious complications. Leaving a broken tooth untreated can result in tooth decay, tooth sensitivity, and ultimately, tooth loss. If you have a broken tooth, it's important to make an appointment with your Dallas dentist for proper evaluation and treatment.
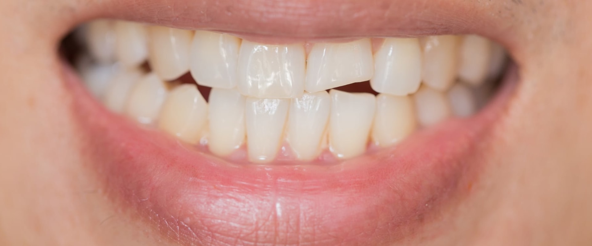
Having a chip in your tooth is hazardous to your health because it can expose the nerve in your tooth. Cracks are often due to tooth decay, so the tooth is already weakened, shaken, and compromised. Here's a look at the dental problems that often arise with chipped teeth and why you should avoid them by repairing your chipped tooth as soon as possible. And for chipped teeth with damaged pulp or roots, the dentist may need to perform root canal treatment before placing a crown on the tooth.
If detected early, the dentist can fill the crack or splinter with specialized dental cement to prevent future pain or infection. The sharp edges of a chipped tooth can cut through the cheek, tongue, or gums, causing painful wounds in the mouth that could make talking and eating uncomfortable. A broken tooth can range from a small splinter to a complete breakage from the outside of the enamel, leaving the pulp and dentin exposed. With larger chips reaching the inside of the tooth, the pulp - made up of connective tissue, blood vessels, and nerves - can be damaged, infected quickly, and begin to die.
Since a severely chipped tooth often leaves its internal structure exposed, it is more vulnerable to decay and infection. This weakens the tooth and causes it to break completely. Because a chip exposes the inner section of a tooth, it leaves its root exposed. Compared to other complications such as gum disease, tooth loss or oral cancer, having a broken tooth may seem like no big deal. If you have chipped a tooth and not treated it yet, it's only a matter of time before it causes another dental problem.
While having a chipped tooth may not seem serious at first glance, it's not advisable to leave it alone instead of seeking professional help.



