Although annoying symptoms can go away with a small splinter, chipped teeth don't heal on their own and require the attention of a dental professional. If you only have a minor chipped tooth, you may not need treatment. The dentist may use a cosmetic contour to smooth out an uneven edge or dental adhesives to fill in gaps and fissures.A tooth may be repaired only if there is minimal damage. For example, if a tooth has a crack at the outer level and a minimal fracture line that does not cause pain, it can repair itself over time.
This healing process is known as remineralization and refers to the minerals in our mouth. Saliva plays an important role in keeping our mouths healthy and can help rebuild cracked tooth enamel to make it strong and protective again.In most cases, the dentist will file or polish the chipped tooth to smooth out rough edges. They can also use dental adhesives made of composite resins to fill the chip or rebuild the tooth. This dental bond is strong and tooth-colored, so it will match your tooth and restore its appearance and function.
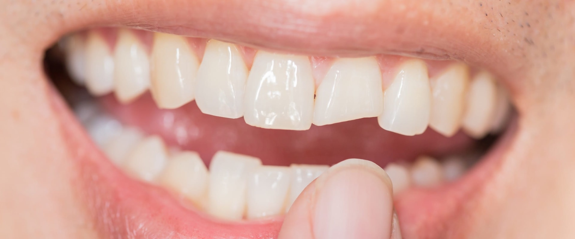
Even if you don't feel pain, a chipped tooth is more exposed to bacteria and risks infection or tooth decay if left untreated.And for chipped teeth with damaged pulp or roots, the dentist may need to perform root canal treatment before placing a crown on the tooth. Here's a look at the dental problems that often arise with chipped teeth and why you should avoid them by repairing your chipped tooth as soon as possible. While the vast majority of dental problems will need us to repair them, there is a chance that your teeth will heal on their own. If a large part of the tooth enamel breaks, the dentin is likely to be exposed and the tooth will feel tender.In addition, a piece of protective enamel will be missing, exposing the internal nerves of the tooth and making it sensitive to pressure and to hot, cold, sweet, and acidic foods and drinks.
The sharp edges of a chipped tooth can cut through the cheek, tongue, or gums, causing painful wounds in the mouth that could make talking and eating uncomfortable. For more serious splinters, the dentist may restore the tooth with a crown, coating, or veneer to protect it from infection. If your tooth has a small splinter and an irregular edge, you can apply dental wax over the edge to prevent cutting your tongue or damaging your mouth.Therefore, it is important to repair a chipped tooth, even if it's small, to prevent further damage and potential tooth loss. Whether your tooth or teeth need repair and you wonder if they will repair themselves or not will depend on the type of dental damage present.
Other factors include which tooth is affected, the extent of the splinter, and whether the pulp of the tooth (where the nerves are) is affected. Temporary broken tooth repair kits are available at pharmacies and online and can be useful while you wait to see a dentist. Or you'll run the risk of experiencing worse dental problems that are more likely to arise if you ignore a chipped tooth. While dentists offer their patients more natural alternatives when they need dental care, many patients also wonder if it's possible for a tooth to heal itself without visiting a dentist.
While a chipped tooth can range from mild to painful, there are still some steps you can take to relieve pain.



